부신암 – 원인, 증상, 치료법 총정리!
- 건강정보 꿀팁
- 2025. 2. 11. 00:15
부신암 – 원인, 증상, 치료법 총정리! 🏥
"부신암이란 어떤 암인가요?"
"부신에서 종양이 발견됐다고 하는데, 치료 방법이 궁금해요!"
📌 부신암(Adrenal Cancer)은 부신에서 발생하는 드문 악성 종양으로,
초기에 증상이 거의 없기 때문에 진단이 늦어지는 경우가 많습니다.
하지만 조기 발견하면 치료가 가능하므로,
증상을 잘 알아두고 정기적인 검진을 받는 것이 중요합니다.
오늘은 부신암의 원인, 주요 증상, 진단 방법, 치료법, 생존율까지
자세히 정리해 드릴게요! 📝✨
📌 1. 부신암이란? – 부신의 역할부터 알아보자!



✔ 부신(Adrenal Gland)은 신장 위에 위치한 작은 내분비기관으로
✔ 호르몬 분비를 담당하며, 스트레스 반응, 혈압 조절, 신진대사 등에 중요한 역할을 합니다.
✅ 부신의 주요 기능
- 부신 겉질 (피질) → 코르티솔, 알도스테론, 안드로겐 호르몬 생성
- 부신 속질 (수질) → 아드레날린(에피네프린), 노르아드레날린 분비
✔ 부신암(Adrenal Cancer)은 부신에서 발생하는 악성 종양으로, 주로 부신 겉질에서 발생합니다.
✔ 흔하지 않은 암이지만, 발견 시 크기가 커져 있거나 다른 장기로 전이된 경우가 많아 주의가 필요합니다.
📌 TIP:
🚨 부신에 종양이 생기더라도 대부분은 양성이지만, 악성인 경우 빠른 치료가 필요합니다!
📌 2. 부신암의 원인 & 위험 요인 🧐
부신암의 정확한 원인은 밝혀지지 않았지만, 유전적 & 환경적 요인이 영향을 미칠 가능성이 있습니다.



✅ 주요 원인 & 위험 요인
✔ 유전적 요인 – 리프라우메니 증후군, 베크위드-비데만 증후군과 같은 유전적 질환
✔ 호르몬 불균형 – 부신 호르몬 분비 이상
✔ 흡연 & 환경적 요인 – 발암 물질 노출 가능성
✔ 신체적 스트레스 & 면역력 저하 – 신체 면역 시스템이 약해질 경우 발생 가능
📌 TIP:
🚨 부신암의 유전적 요인이 의심되는 경우, 가족력이 있다면 정기적인 검진이 중요합니다!
📌 3. 부신암의 주요 증상 🚨
✔ 부신암은 초기에는 증상이 거의 없지만, 암이 진행되면서 다음과 같은 증상이 나타날 수 있습니다.



증상 유형 세부 증상
| 호르몬 과다 생성 | 코르티솔 증가 → 쿠싱증후군 (체중 증가, 고혈압, 피부 얇아짐) |
| 안드로겐 증가 → 여성에게 남성화 증상 (수염, 목소리 굵어짐) | |
| 에스트로겐 증가 → 남성에게 여성형 유방 발생 | |
| 일반적인 증상 | 지속적인 복통, 허리 통증, 소화 장애 |
| 원인 불명의 체중 감소 | |
| 피로감 & 근력 저하 | |
| 복부에서 덩어리(종양) 만져짐 |
📌 TIP:
🚨 부신암은 크기가 커지거나 호르몬 이상이 발생하면 증상이 나타나므로, 이상 증상이 있다면 바로 검진을 받아야 합니다.
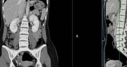
📌 4. 부신암의 진단 방법 🔍
✔ 부신암은 CT, MRI, 혈액 검사, 조직 검사 등을 통해 진단할 수 있습니다.



✅ 부신암 진단 과정
✔ 1. 혈액 검사 & 소변 검사
→ 부신 호르몬 수치 이상 확인 (코르티솔, 알도스테론, 안드로겐 등)
✔ 2. 영상 검사 (CT & MRI)
→ 부신 종양의 크기 및 전이 여부 확인
✔ 3. 조직 검사 (생검, Biopsy)
→ 종양이 양성인지 악성인지 확진
📌 TIP:
🚨 부신 종양이 4cm 이상이라면 암일 가능성이 있으므로, 정밀 검사가 필요합니다!
📌 5. 부신암 치료법 🏥
✔ 부신암 치료는 암의 크기, 전이 여부, 환자의 건강 상태에 따라 결정됩니다.
✅ 주요 치료 방법
🔹 1. 수술 (부신 절제술, Adrenalectomy)
✔ 가장 효과적인 치료법 → 암이 국한되어 있을 경우, 부신을 절제하여 제거
✔ 초기 부신암이라면 완치 가능성 높음
🔹 2. 방사선 치료 & 항암치료
✔ 암이 진행된 경우 수술 후 잔여 암세포 제거를 위해 시행
✔ 전이된 경우 미토탄(Mitotane)이라는 부신암 특수 항암제를 사용하기도 함
📌 TIP:
🚨 초기에 발견하면 수술로 완치 가능성이 높지만, 전이된 경우 치료가 어려울 수 있습니다.
📌 6. 부신암 생존율 & 예후 📊



✔ 부신암의 예후는 병기(Stage)에 따라 차이가 큽니다.
병기 (Stage) 설명 5년 생존율
| 1기 (초기) | 부신 내 국한됨, 크기 5cm 이하 | 60~80% |
| 2기 | 크기 5cm 이상 | 50~60% |
| 3기 | 림프절 전이 있음 | 30~40% |
| 4기 (말기) | 다른 장기로 전이됨 | 10% 이하 |
📌 TIP:
🚨 조기 발견이 중요! 1~2기에서 수술하면 완치 가능성이 높아집니다.
📌 7. 부신암 예방을 위한 생활 습관 🛡️
✅ 정기적인 건강검진 받기 (특히 가족력이 있다면 필수!)
✅ 스트레스 관리 & 충분한 수면 유지
✅ 가공식품, 설탕, 트랜스지방 섭취 줄이기
✅ 흡연 & 과음 줄이기 (환경적 발암 물질 노출 최소화)
✅ 규칙적인 운동 & 면역력 강화 (체중 관리 필수!)
📌 TIP:
🚨 부신암은 희귀하지만, 예방을 위해 건강한 생활 습관을 유지하는 것이 중요합니다!
🔥 결론 – 부신암, 조기 발견이 가장 중요하다!
✔ 부신암은 초기 증상이 거의 없어, 조기 발견이 어려울 수 있음
✔ 부신 호르몬 불균형 증상이 있다면 반드시 검진 필요
✔ 초기에 발견하면 수술로 완치 가능성이 높음
✔ 정기적인 건강검진과 생활 습관 관리로 예방이 중요!
📌 부신암은 드문 질환이지만, 빠른 진단과 치료가 생존율을 높이는 핵심입니다!
이상 증상이 있다면 바로 병원을 방문하세요! 🏥💙